November 15, 2025
FDA Approves iOS App for Remote Diagnostic Imaging

FDA Approves iOS App for Remote Diagnostic Imaging

Posted February 5, 2011 at 1:44pm by iClarified
A mobile radiology application has been cleared by the U.S. Food and Drug Administration which allows physicians to view medical images on the iPhone and iPad.

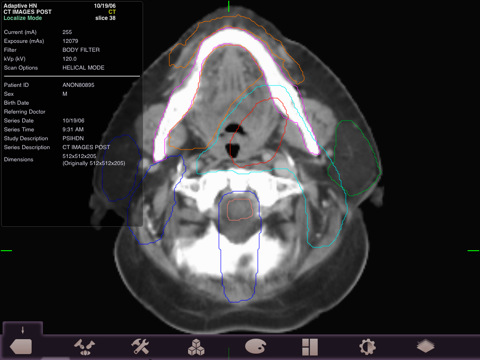
The application is the first cleared by the FDA for viewing images and making medical diagnoses based on computed tomography (CT), magnetic resonance imaging (MRI), and nuclear medicine technology, such as positron emission tomography (PET). It is not intended to replace full workstations and is indicated for use only when there is no access to a workstation.

"This important mobile technology provides physicians with the ability to immediately view images and make diagnoses without having to be back at the workstation or wait for film," said William Maisel, M.D., M.P.H., chief scientist and deputy director for science in the FDA's Center for Devices and Radiological Health.


Radiology images taken in the hospital or physician's office are compressed for secure network transfer then sent to the appropriate portable wireless device via software called Mobile MIM. Mobile MIM, manufactured by Cleveland-based MIM Software Inc., allows the physician to measure distance on the image and image intensity values and display measurement lines, annotations and regions of interest.

In its evaluation, the FDA reviewed performance test results on various portable devices. These tests measured luminance, image quality (resolution), and noise in accordance with international standards and guidelines. The FDA also reviewed results from demonstration studies with qualified radiologists under different lighting conditions. All participants agreed that the device was sufficient for diagnostic image interpretation under the recommended lighting conditions.

The display performance of mobile devices can experience significant variations in luminance levels even between mobile devices of the same model. The Mobile MIM application includes sufficient labeling and safety features to mitigate the risk of poor image display due to improper screen luminance or lighting conditions. The device includes an interactive contrast test in which a small part of the screen is a slightly different shade than the rest of the screen. If the physician can identify and tap this portion of the screen, then the lighting conditions are not interfering with the physician's ability to discern subtle differences in contrast. In addition, a safety guide is included within the application.

Mobile MIM will be available in the US Apple App Store next week. It is already available in numerous other markets.


Read More


FDA Approves iOS App for Remote Diagnostic Imaging

FDA Approves iOS App for Remote Diagnostic Imaging

FDA Approves iOS App for Remote Diagnostic Imaging
Add Comment
Would you like to be notified when someone replies or adds a new comment?
Yes (All Threads)
Yes (This Thread Only)
No
iClarified Icon
Notifications
Would you like to be notified when we post a new Apple news article or tutorial?
Yes
No
Comments
You must login or register to add a comment...
Recent. Read the latest Apple News.
RECENT
Tutorials. Help is here.
TUTORIALS
Where to Download macOS Sequoia
Where to Download macOS Sonoma
AppleTV Firmware Download Locations
Where To Download iPad Firmware Files From
Where To Download iPhone Firmware Files From
Deals. Save on Apple devices and accessories.
DEALS